Сифилис
Общие сведения
В последние годы отмечается рост заболеваемости сифилисом, и в некоторых странах она увеличилась на 300%. Сифилис — распространенная хроническая инфекция, передающаяся половым путем, и часто она неотделима от ВИЧ/СПИД, которые также преимущественно передаются половым путем. Данная инфекция относится к венерическим и является показателем социального неблагополучия. Болезнь сифилис вызывается бледной трепонемой (Treponema pallidum), отличается волнообразностью течения и характеризуется поражением слизистых, кожи, внутренних органов, костей и нервной системы. Заболевание эффективно лечится, но сложности связаны с тем, что симптомы могут проявиться поздно, и на них пациент часто не обращает внимания. При отсутствии лечения заболевание рецидивирует и прогрессирует, поражаются внутренние органы и возникают серьезные осложнения со стороны центральной нервной системы (инсульт, эпилептические приступы, дегенеративные изменения нервных волокон, слепота).
Трудности диагностики связаны со многими факторами: скрытые формы раннего сифилиса преобладают над выраженными, появляются атипичные шанкры, внешние признаки самопроизвольно исчезают, но инфекционный процесс продолжается. Эти особенности течения и недостаточная осведомленность пациентов о своем заболевании становятся причиной активного его распространения.
Патогенез
Трепонемы проникают через поврежденную кожу и слизистые и в месте внедрения они интенсивно размножаются. Через время в этом месте образуется первичная сифилома (язва или эрозия), которая характеризует первый этап заболевания. Отсюда трепонемы попадают в кровеносные и лимфатические сосуды и распространяются в различные органы. В связи со способностью трепонем преодолевать плацентарный и гематоэнцефалический барьеры происходит инфицирование плода и серьезное поражение центральной нервной системы.
При сифилитической инфекции у больных изменяется структура В-лимфоцитов и увеличивается содержание CD19+и CD5+ субпопуляций, которые специфичны для В1-лимфоцитов. Таким образом при этой инфекции В1-клетки участвуют в иммунном ответе. Повышение этих лимфоцитов выявляется при различных клинических формах. В иммунном ответе также имеют значение антитела к фосфолипидам — повышается уровень антител к липопротеинам низкой плотности и кардиолипину. При поздних формах сохранившиеся трепонемы теряют антигенные свойства, уменьшается количество антител в крови и серологические тесты становятся отрицательными.
Классификация
По времени возникновения:
- Врожденный сифилис. Включает поражение плаценты и плода, ранний врожденный (проявляется в возрасте до 2 лет, бывает активным и скрытым), поздний врожденный (возникает у детей старше 2 лет, бывает активным и скрытым).
- Приобретенный.
При внутриутробной инфекции поражается большинство органов, поэтому возможна гибель плода или рождение больного ребенка. Заболевание у беременных может быть незамеченным, и это считается чрезвычайным происшествием. Но, если полноценно проведен скрининг и проведено лечение беременной, то можно избежать заражения плода. Выделяют раннюю врожденную инфекцию у ребенка до 1 года и раннего детского возраста до 2 лет. Проявления врожденной инфекции: сифилитическая пузырчатка, ринит, остеохондрит костей. Также могут быть высыпания на коже как при вторичном сифилисе, поражение печени, почек, сердца (миокардит, перикардит) и центральной нервной системы.
Периоды сифилиса приобретенного:
- Инкубационный. Начинается с момента заражения и продолжается около месяца, но может удлиняться или укорачиваться, симптомов нет, возбудитель распространяется по организму, больной заразен.
- Первичный.
- Вторичный.
- Третичный.
К раннему периоду заболевания относятся инкубационный период, первичный и вторичный сифилис. Для этого периода характерно волнообразное течение, которое длится около двух лет, и каждый рецидив сменяется отсутствием симптомов. Поздний период — это третичный сифилис. Одновременно первичный, вторичный и третичный сифилис отражают стадии заболевания.
- Первичный сифилис. Бывает серонегативный — имеется первичный аффект, но отрицательные серологические реакции, и серопозитивный — присутствует первичный аффект и положительные серологические реакции. Этот период характеризуется появлением твердого шанкра и увеличением лимфоузлов, но у некоторых оно выражено незначительно. Продолжительность этого периода около 1,5-2 месяцев. С начала заболевания реакция Вассермана отрицательная (серонегативная сифилитическая инфекция), через месяц реакция уже положительная.
- Вторичный сифилис. Развивается через 2-5 месяцев от момента заражения и может длиться до 5 лет, если не проводится лечение. В этот период появляются разнообразные высыпания на коже, увеличиваются лимфоузлы и поражаются внутренние органы. Выделяют вторичный свежий, когда появляются первые обильные высыпания (вторичные сифилиды в виде пятен, папул и пузырьков), и присутствует первичный аффект. Все высыпания в этот период округлой формы, не беспокоят больных, не имеют признаков воспаления, они отграничены от непораженной кожи, заразны (содержат много трепонем), самопроизвольно разрешаются за 2-3 месяца. Чаще всего отмечаются пятна розового цвета на коже туловища, рук и ног. Вторичный рецидивный – появление новых «волн» высыпаний в небольшом количестве при отсутствии первичного аффекта. В этот период происходит смена активных промежутков болезни с высыпаниями на промежутки без видимых кожных изменений. Серологические реакции резко положительны. Активное проявление инфекции длится 2-2,5 месяца, а потом сыпь исчезает.
- Третичный. Развивается через 6-8 лет после заражения, если не проводилось лечение на ранних стадиях, и характеризуется поражением внутренних органов, костей черепа, голени, грудины, носа, образованием на коже и в различных тканях гумм. В 83% протекает скрыто и манифестирует поражением нервной системы: эпилептоидные припадки, инсульты, нарушения речи. Поражение сердечно-сосудистой системы проявляется сифилитическим аортитом и недостаточностью клапанов аорты. В этот период отмечаются различные осложнения и возможен летальный исход.
Причины
Возбудитель сифилиса — микроорганизм спиралевидной формы бледная трепонема, которая быстро погибает вне организма, а при кипячении — мгновенно. Как передается сифилис? Заражение сифилисом происходит несколькими путями:
- Контактный. Прямой контакт с больным происходит при незащищенном половом акте через поврежденные слизистые. Половой путь является основным, а широкое распространение наркомании и сексуальные отношения без презервативов влекут увеличение случаев, когда сочетаются сифилис и ВИЧ. Такое сочетание имеет особенности течения: атипичное и тяжелое течение, стремительное развитие заболевания (поздние проявления появляются в короткие сроки), шанкры часто осложняются гангренизацией и в отделяемом содержат много трепонем, во вторичном периоде преобладают папулезные высыпания. Контактно-бытовой отмечается у детей при контакте с родителями, которые имеют высыпания на коже. Если кормящая мать имеет высыпания на соске, она инфицирует ребенка при кормлении. Возможно инфицирование лиц, чей род деятельности связан с контактом с больными или инфицированным материалом (акушеры-гинекологи, стоматологи, персонал лабораторий).
- Трансплацентарный – передача через плаценту от больной беременной плоду. В данном случае развивается врожденная форма заболевания, которое становится причиной мертворождения.
- Трансфузионный. Заболевание сифилис передается при переливании крови больного любой формой.
Симптомы сифилиса
Проявления разнообразны и зависят от периода заболевания. Первичные проявления сифилиса — твердый шанкр и увеличение лимфатических узлов, которое отмечается через неделю с момента заболевания. При первичной инфекции чаще всего выявляется генитальная локализация. Как выглядит сифилис в данном случае? Классический половой сифилис представлен твердой язвой (твердым шанкром) — она безболезненная, имеет гладкое дно красного цвета и уплотнена в основании. Глубокая язва имеет очень плотный инфильтрат, по плотности напоминающий ушную раковину.
Если первичный элемент представлен эрозией, то она незаметна, а уплотнение слабо выражено. Диаметр шанкра 10–20 мм, но могут быть карликовые (до 5 мм) и очень крупные (40–50 мм). Гигантские язвы локализуются на лобке, мошонке или животе, а карликовые чаще встречаются у женщин. Эрозии с невыраженным инфильтратом самостоятельно проходят через 7–14 дней, а крупные язвы, имеющие мощный инфильтрат, сохраняются три месяца и переходят во вторичную стадию заболевания. Поскольку боли отсутствуют, больные не обращаются к врачу и пропускают время лечения, когда оно максимально эффективно.
Часто первичный сифилис у мужчин протекают как эрозивный баланит (поражение головки полового члена) или баланопостит (поражение головки и крайней плоти). У мужчин встречаются карликовые шанкры, в которых инфильтрат отсутствует. Их форма и течение различны в зависимости от локализации: на уздечке полового органа они удлиненные и кровоточат во время эрекции, по бокам уздечки шанкр не имеет уплотнения и плохо заметен. Если шанкр расположен в отверстии мочеиспускательного канала, он кровоточит и твердый, а при локализации его в уретре появляется дискомфорт и болезненность при пальпации. На коже полового органа могут быть эрозивные папулы, которые растут по периферии и сливаются, образуя эрозивный мокнущий очаг.
На фоне иммунодефицитных состояний у мужчин развивается язвенно-некротический процесс и гангренизация твердого шанкра. Последняя возникает при присоединении фузоспириллезной инфекции, и на поверхности шанкра появляется черный струп. На фоне некроза возможно отторжение головки полового органа, кровотечение и разрушение уретры.
Первичный сифилис у женщин также представлен твердым шанкром. Проявления сифилиса у женщин обнаруживаются у наружных половых органов (большие и малые половые губы, клитор), на шейке матки и стенках влагалища (редко). Первичные элементы могут располагаться в паховой области, вокруг заднего прохода и в анальных складках. Шанкры отверстия мочеиспускательного канала у женщин имеют плотную консистенцию.
Если говорить о других локализациях шанкра, то он встречается на лице, в полости рта, руках, в области ануса и молочных желез. Шанкр губ располагается на красной кайме, чаще одиночный и покрыт коркой. На языке он имеет вид эрозии. Шанкры кистей бывают у мужчин и располагаются на указательном и среднем пальце. Вокруг ануса первичный сифилитический элемент имеет вид трещины. При расположении его в прямой кишке появляется боль после дефекации. При раннем сифилисе поражаются внутренние органы и чаще всего — это гепатит, гастрит, миокардит и нефрит, но проявления не выражены.
Первичный период заканчивается множественным увеличением подкожных лимфоузлов («полиаденит») и это совпадает с распространением трепонем в крови. У некоторых больных повышается температура, появляется слабость и головная боль. С гематогенным распространением возбудителя начинается новый период заболевания.
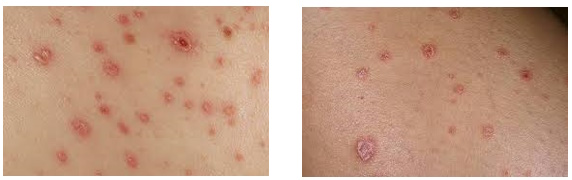
Если рассматривать признаки сифилиса вторичного, то это поражение кожи и слизистых и изменения внутренних органов. Кожные проявления (вторичные сифилиды) могут быть в виде пятен, папул, везикул или пустул и располагаются они различных областях по всему телу. Чаще всего это розеолы — розовые пятна.
Величина их от 2 до 15 мм и неодинаковый цвет: в начале они ярко-розовые, а потом становятся блеклыми, бледно-розовыми и буроватыми. Не имеют наклонности к слиянию. Нередко одновременно появляются несколько видов вторичных сифилидов — пятна и папулы или папулы и пустулы. В то же время пустулы на коже редко появляются и только у ослабленных больных.
Все элементы имеют доброкачественное течение — нет островоспалительных реакций, они не нарушают общее состояние, не зудят и после их разрешения не остается рубцов. Характерным для вторичных сифилидов является то, что они очень заразны, особенно, если эрозированы и имеют выделения. Другая особенность — быстрое исчезновение при проведении специфического лечения. Первое высыпание очень обильное, яркой окраски и расположено симметрично. При этом есть остатки первичного аффекта и увеличены лимфоузлы. При рецидивном высыпании количество элементов значительно меньше, появляются на ограниченных участках и могут группироваться в дуги, кольца или гирлянды. С каждым рецидивом количество элементов сыпи уменьшается.
Сифилиды на ладони и подошве имеют особенности: красно-бурые папулы просвечиваются сквозь кожу, а разрешаясь, становятся желтыми пятнами с воротничком. Иногда возникают роговые папулы, как мозоли. Сифилитические папулы в полости рта белесоватые, плотные, округлые, гладкие и немного возвышаются над слизистой. Если папулы расположены на голосовых связках, развивается дисфония (хриплый и слабый голос) и афония.
Во вторичном периоде отмечается поражение костей и суставов, что проявляется болями по ночам. Также вовлекается центральная нервная система — развиваются вегетативные дисфункции, менингит и сосудистые нарушения.
Анализы и диагностика
Развитие заболевания можно предупредить ранним скринингом и проведением лечения. Сдать анализ на сифилис можно в большинстве лабораторий. Анализ на сифилис выявляет антитела к Treponema pallidum и липидные антитела, которые указывают на присутствие инфекции. В связи с этим тесты подразделяются на трепонемные тесты (ИФА, ПЦР, РПГА — обнаруживают антитела к возбудителю) и нетрепонемные (обнаруживают антитела к липидам, высвобождающимся из поврежденных возбудителем клеток).
- Нетрепонемные используются в качестве скрининга, но часто дают ложноположительные результаты. Кровь на сифилис при нетрепонемном тесте сдают натощак (по крайней мере за 5–6 часов до сдачи пищу не принимают). За один день до сдачи крови отказываются от алкоголя и за 2 часа от курения. При положительном результате этого теста необходимо подтверждение трепонемным тестом.
- Трепонемные серологические тесты позволяют диагностировать заболевание на ранних и поздних стадиях. Специфические антитела присутствуют в крови на 1-2 неделе возникновения шанкра. Суммарные (IgM и IgG) антитела подтверждают диагноз при первых проявлениях. На ранних стадиях выявляются IgM-антитела, IgG-антитела сохраняются пожизненно после перенесенного заболевания. Серологическое подтверждение заболевания выражается следующим образом: положительная реакция в низких титрах, положительная в высоких титрах, высокий титр антител — более 1:640.
- В лабораториях также можно сдать анализы на гепатит и сифилис — это комплекс инфекций, которые передаются половым путем (диагностируют гепатиты В и С). Компания «Биопалитра» (Санкт-Петербург) производит тест-системы «МультиСКРИН» 4 в 1, которая позволяет выявить одновременно ВИЧ, сифилис, гепатит В и С. Это самый востребованный и необходимый комплекс анализов с социальной точки зрения. Тест-система основана на методике иммуноферментного анализа. МультиСКРИН имеет высокую специфичность и чувствительность. Результат исследования готов уже через 2 часа.
- Полимеразная цепная реакция — выявление ДНК трепонемы в крови, соскобах, сперме, глотке, отделяемом шанкра или моче.
- Определение уровня провоспалительных цитокинов. Как дополнительный маркер, высокая концентрация ИЛ-1, ИЛ-6, ИЛ-8 свидетельствует о тяжести процесса.
- Бактериоскопический метод. Выявление бледных трепонем в микроскопе с темным полем. Не является основным методом диагностики и обязательно подтверждается серологическими и молекулярным методами.
- Бактериологический (посев) метод. Не является основным, сложен и неэффективен.
- Консультация офтальмолога, невролога, терапевта.
Лечение
Лечение сифилиса заключается в применении бензилпенициллина, который является препаратом выбора. Это могут быть препараты различных солей бензилпенициллина:
- Водорастворимая натриевая соль. Имеет короткую продолжительность действия, поэтому препарат вводится каждые 6 часов.
- Новокаиновая и прокаиновая соли — имеют среднюю продолжительность действия и вводятся 1 или 2 раза в сутки.
- Бензатина бензилпенициллин — имеет продолжительное действие (препараты Бициллин-1 и Ретарпен), вводят один раз в 7 дней.
- Комбинированные, состоящие из нескольких солей, имеют продолжительное действие (препараты Бициллин-3 и Бициллин-5), вводятся 2 раза в неделю. Бициллин-3 состоит из трех солей пенициллина.
Водорастворимый пенициллин применяют при нейросифилисе (на ранней и поздней стадии), эффективность повышается при внутривенном капельном введении. Этот препарат применяется у беременных, так как обеспечивает проникание в ткани плода, также используется у детей с врожденной и приобретенной формой инфекции. Недостатком для больных является то, что частые инъекции требуют пребывания в стационаре.
Дюрантные препараты (продолжительного действия) создают длительную, но низкую концентрацию пенициллина. Эти формы плохо проникают в гематоэнцефалический барьер, и при менингите ликвор не санируется, в связи с чем сохраняется риск поздних форм нейросифилиса. Дюрантные препараты удобно применять для лечения первичного сифилиса и профилактического лечения контактных.
В некоторых случаях сифилис лечится методом эндолимфатической пенициллинотерапии. Это резервный метод лечения нейросифилиса. При гуммах головного мозга одновременно с пенициллинотерапией назначается преднизолон весь курс лечения.
Препараты резерва
- Цефтриаксон. Вводится внутримышечно и внутривенно раз в сутки, проникает через гематоэнцефалический барьер. Эффективен при ранних и поздних формах.
- Полусинтетические пенициллины — Ампициллин и Оксациллин вводят внутримышечно 4 раза в сутки.
- Доксициклин и Эритромицин. Применяются редко, ввиду низкой эффективности по сравнению с бензилпенициллином.
Результаты лечения оценивают по серологическим исследованиям: отрицательные нетрепонемные тесты или снижение антител в 4 раза в течение года после окончания лечения. Показатели РИФ, ИФА, РПГА после лечения отрицательными бывают очень редко, и положительные результаты не рассматриваются как его неэффективность. В то же время критериями неэффективности лечения считаются повышение в 4 раза титра в нетрепонемных исследованиях, повторные положительные тесты, устойчиво положительные нетрепонемные тесты в течение года.
Доктора
Лекарства
- Препараты пенициллинового ряда: Бензилпенициллина натриевая соль, Бициллин-1, Ретарпен, Бензилпенициллина новокаиновая соль, Бициллин-3, Бициллин-5, Амоксициллин, Оксациллин.
При беременности
Выявление сифилиса при беременности не является показанием для ее прерывания. Женщине до 32 недели нужно начать и провести правильное лечение. Беременным разрешены бензилпенициллина натриевая соль, новокаиновая соль, полусинтетические пенициллины и цефтриаксон.
Диета

Диета 15 стол
- Эффективность: лечебный эффект через 2 недели
- Сроки: постоянно
- Стоимость продуктов: 1600-1800 рублей в неделю
Специальная диета не предусматривается.
Профилактика
При этом заболевании развивается инфекционный иммунитет, который связан с наличием в организме бледной трепонемы, и он исчезает при исчезновении возбудителя на фоне проводимого лечения. Это объясняет тот факт, что после излечения может произойти повторное заражение. Начаты исследования по разработке вакцины. На сегодняшний день установлены генетические особенности и мутации бледной трепонемы, что необходимо для знаний о патогенезе заболевания. Исследования по созданию вакцины продолжаются.
- Основное направление профилактики — информирование население о путях передачи инфекции, о необходимости соблюдать половую гигиену (исключить беспорядочные интимные связи и незащищенный секс). Особое внимание уделять подросткам, лицам, вступающим в брак и планирующим беременность.
- Обследование беременных и их лечение для профилактики сифилиса у новорожденного.
- Проведение превентивного лечения лицам, которые были в контакте (половом или бытовом) с больными с ранними формами сифилиса, если с момента контакта прошло не более 2 месяцев. Профилактическое лечение проводят бензатина пенициллином однократно в большой дозе, а при непереносимости пенициллина назначают Цефтриаксон внутримышечно 5 дней, Оксациллин внутримышечно 10 дней, Доксициклин или Эритромицин внутрь 10 дней.
Последствия и осложнения
- Возможно «злокачественное» течение вторичного сифилиса, когда образуются пустулезные (гнойные) сифилиды, выпадают волосы и лейкодерма (потеря пигментации кожи).
- У мужчин твердый шанкр осложняется баланитом, баланопоститом, парафимозом.
- Опасное осложнение шанкра — гангренизация и фагеденизм. Гангренизация проявляется появлением темно-серого участка некроза в центре шанкра, потом он покрывается черным струпом, а при его отторжении образуется глубокая язва. При фагеденизме процесс распространяется и в глубину, и за пределы шанкра и эти ткани. При фагеденизме разрушения сильнее выражены, что заканчивается увечьем с образованием грубых рубцов. При этих состояниях возможно опасное кровотечение.
- Разрушение костей и хряща носа, что влечет не только деформацию носа, но и западение спинки и «отпадение». Это редкое осложнение может быть при третичном сифилисе.
- Поражение нервной системы (нейросифилис), что сопровождается слепотой, глухотой, психическими расстройствами и параличами (спинная сухотка).
Прогноз
При своевременном и правильном лечении прогноз благоприятный. Раннее обращение к врачу и начало лечения повышает шансы на выздоровление без осложнений и последствий. Сопутствующие висцериты и поражение нервной системы значительно утяжеляют состояние и ухудшают прогноз. При висцеральном сифилисе возможны кровотечения и гибель больного. Тяжелым течением отличается нейросифилис, исход которого зависит от возраста пациента и характера поражения. При менингите неврологическая симптоматика исчезает. При неврите глазного нерва исход различен — от полного восстановления зрения до полной слепоты. При менингомиелите, прогрессирующем параличе и спинной сухотке происходят необратимые изменения в нервных волокнах (задних корешках и ганглиях спинного мозга), поэтому надеяться можно только на предотвращение прогрессирования возникших изменений.
Список источников
- Матыскина Н.В., Таранушенко Т. Е. Ранний врожденный сифилис: решенные и нерешенные вопросы диагностики. Российский вестник перинатологии и педиатрии 2019; 64:(2): 75—80.
- Г.И. Мавлютова, Л. А. Юсупова, З. Ш. Гараева, Е. И. Юнусова, М. Ф. Шархемуллин, А. В. Лобастов, М. И. Котов Сифилис плода/ Лечащий врач, 2019, №6.
- Платонова А.В., Эсавулова Л.Т., Пономаренко И.Г., Теличко И.Н. Первичный сифилис половых органов с ин-дуративным отеком и ложноотрицательными серологическими реакциями. 2023; 25 (1): 51—54.
- Котикова М.А., Сапешко Е.Ю. Особенности клинических и серологических проявлений первичного периода сифилиса/Смоленский медицинский альманах, 2018.
- Базаев В.Т., Цебоева М.Б., Царуева М.С., Джанаев В.Ф. Современный взгляд на поражение центральной нервной системы при сифилисе. Клиническая дерматология и венерология. 2012;10(1):83 89.




Бензилпенициллина натриевая соль
Ретарпен
Амоксициллин
Оксациллин
Цефтриаксон








Последние комментарии
Любовь_И: Большой индекс массы тела повлиял на здоровье моих коленных суставов. Спасибо ...
Альбина Михайловна: Гонартроз, лишний вес. Врач сказала: «Пробуем Флексотрон Ультра». Укол в колено сделала ...
Ольга К.: Раньше после лыж колено побаливало. Врач нашёл повреждения хряща. Сделал укол Флексотрон ...
Сергей Степанов: Занимаюсь тяжёлой атлетикой уже много лет, колени давно начали шалить. Врач посоветовал ...